Vi anbefaler at du alltid bruker siste versjon av nettleseren din.

Vestre Viken i front innen kunstig intelligens

Som første norske helseforetak skal Vestre Viken ta i bruk kunstig intelligens som støtteverktøy til å tyde bilder innen radiologi.

Kommunikasjonsavdelingen
Publisert 13.06.2023
En mann og en kvinne som står foran et fjernsyn
Forskningskonsulent Line Tveiten og prosjektleder for KI i Vestre Viken, Bjørn Anton Graff.

Det har blitt anskaffet en skybasert plattform som gjør det mulig å installere ulike kunstig intelligens-applikasjoner. 

Disse er statiske og vil ikke benytte aktuelle data til egen læring. Det er strenge sikkerhetsmekanismer som sørger for at IKT-sikkerhet og personvern er ivaretatt. Alle applikasjoner er CE-merket og er i drift på institusjoner i Europa. Det ble i anskaffelsesprosessen inngått en rammeavtale hvor andre foretak får mulighet til å gjøre avrop. På denne måten bidrar vi til at flere foretak i Norge kan benytte denne teknologien. 

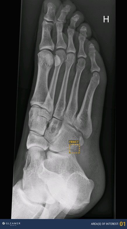
Den første applikasjonen som skal tas i bruk er en frakturløsning (Boneview) fra leverandøren Gleamer. Plattformen og applikasjonen er allerede installert, og det jobbes nå med å validere løsningen for å sikre at den leverer som antatt. Dersom resultatene er gode, planlegges det idriftsetting i august, deretter bredde til de andre sykehusene i Vestre Viken.

Inntil videre brukes resultatene kun til validering av løsningen.

- Kvalitetssikrer løsningen​​

- Nå jobber våre kunstig intelligens-leger med å kvalitetssikre løsningen. Alle røntgenundersøkelser med indikasjon brudd på Bærum sykehus sendes til analyse. Vi er spente på hvor godt løsningen fungerer for våre pasienter, sier prosjektleder for kunstig intelligens (KI) i Vestre Viken, Bjørn Anton Graff.

Når løsningen settes i drift i slutten av august, skal den fungere som et støtteverktøy for vårt helsepersonell. Foreløpig vil alltid en lege vurdere bildene i tillegg til kunstig intelligens-applikasjonen sin analyse. Omtrent to minutter etter billedtagning kommer svarrapporten fra kunstig intelligens applikasjonen. Dette svaret vil benyttes for å bedre arbeid -og pasientflyt videre. 

En pasient med negativt svar fra applikasjonen vil kunne sendes hjem av radiograf i stedet for å vente på at en lege har vurdert bildene. Forutsetningen er naturligvis at det ikke er behov for annen behandling. 

Ved positivt svar sendes pasienten direkte til behandlende lege. I etterkant (ofte dagen etter) vil radiolog sikre at svaret fra kunstig intelligens-applikasjonen er korrekt. Forutsetningen for å kunne endre pasientflyten er at valideringen viser at løsningen fungerer så godt som forskningen ved andre institusjoner i Europa tyder på. ​

Slide for kunstig intelligens

Bedrer pasientfl​​yten for tusenvis av pasienter

- Når løsningen settes i drift i august vil den forbedre pasientflyten for flere tusen pasienter ved Bærum sykehus årlig. Vi planlegger å bredde løsningen til våre andre sykehus så raskt som mulig for å kunne gi alle Vestre Vikens pasienter det samme gode tilbudet, sier forskningskonsulent Line Tveiten.

Bilde av den første foten som er analysert ved hjelp av kunstig intelligens.

Bilde av den første foten som er analysert ved hjelp av KI.

Det er avdeling for bildediagnostikks første steg til å utnytte denne teknologien på en sikker og god måte, dette for å skape bedre pasientforløp og frigjøre helsepersonell. Legevakten Asker og Bærum, samt Avdeling for ortopedi er viktige samarbeidspartnere, og prosjektet mottar økonomisk støtte fra Helse Sør-Øst. ​