Støvsuger bort blodproppen
Akutt blodpropp i arteriene kan nå støvsuges bort i ny behandlingsmetode i Vestre Viken.
I Vestre Viken har de nå gått til anskaffelse av en såkalt Angiojet, som er et system som gjør at de kan behandle pasienter med akutt blodpropp langt raskere og mer effektivt enn tidligere.

STØVSUGER BLODPROPP. Lars Borgen (t.v.), støv-
sugeren og Øyvind Skoe. (Foto: Kjartan B. Aasekjær)
– Systemet består av en gulvstående enhet og et engangs spesialkateter, og er en støvsuger som fragmenterer og suger ut blodproppen mens vi gjennomlyser med røntgenstråler. Dette kan gjøres gjennom et 2 millimeter stort hull i lysken. Pasienten trenger ikke ligge mange døgn med drypp, og vi kan i en del tilfeller unngå åpen operasjon, forteller Lars Borgen, overlege ved Avdeling for bildediagnostikk i Drammen og Øyvind Skoe, seksjonsoverlege ved Kirurgisk avdeling på Drammen sykehus.
Drammen sykehus har områdefunksjon for karkirurgiske pasienter i Vestre Viken, med et nedslagsfelt på nærmere en halv million mennesker. Diagnostikk og behandling av mange av disse pasientene er et samarbeid mellom intervensjonsradiologene ved Avdeling for bildediagnostikk og karkirurgene ved Kirurgisk avdeling på Drammen sykehus.
Operasjon og «plumbo»
Pasientene har fram til nå blitt behandlet delvis med åpen kirurgi og delvis med endovasculær teknikk (perkutan kateterbasert behandling).
– Akutt blodpropp i arteriene gir sterke smerter og kan medføre koldbrann og amputasjon om det ikke behandles raskt. Frem til nå er dette behandlet enten med åpen operasjon og fjerning av blodproppen, eller med bildeveiledet kateterbasert trombolyse, der det gis en form for «plumbo» rett i blodproppen slik at den løser seg opp, forteller Borgen og Skoe.
– Sistnevnte kan medføre at pasienten blir liggende på rygg over flere døgn før proppen er fullstendig borte. En annen sak er at pasienter som for eksempel er nyopererte eller tidligere har hatt hjerneblødning ikke kan få «plumbo». En del pasienter egner seg heller ikke for åpen kirurgisk fjerning av blodproppen, sier de.
Mange fordeler
– Vi mener behandlingsmetoden med Angiojet, altså støvsugeren, vil være til stor fordel for denne pasientgruppen. Den vil kunne medføre raskere gjenoppretting av sirkulasjonen, raskere mobilisering, kortere liggetid og mindre belastning på postoperativ og intensiv avdelingen, der pasienten ligger mens de får «plumbo-drypp». Angiojet kan også være en problemløser ved for eksempel blodpropp til tarmarterier, sier Borgen og Skoe.
Vellykket behandling
Første behandling er nettopp gjennomført – og den gikk svært bra.
– Pasienten var ferdigbehandlet på halvannen time, avslutter Borgen og Skoe.

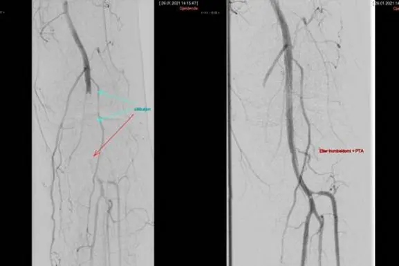
FØR OG ETTER. Bildet viser tett blodåre i knehasen før støvsuging (til venstre) og
åpen blodåre etter. (Pasienten har samtykket til bruk av bildene)
Se flere nettsaker om fremtidens pasientbehandling på temasiden til Helse Sør-Øst