Kjerkol løftet fram Vestre Viken HF i Sykehustalen
Helseminister Ingvild Kjerkol holdt tirsdag den årlige Sykehustalen. Her presenterer ministeren sine forventninger til fagfolk og ledere, og krav til styrene for sykehusene.

Vestre Viken Helseforetak ble her trukket fram i forbindelse med sin satsing innen kunstig intelligens (KI).
Hun påpekte at det flere steder foregår en rekke prosjekter innenfor kunstig intelligens.
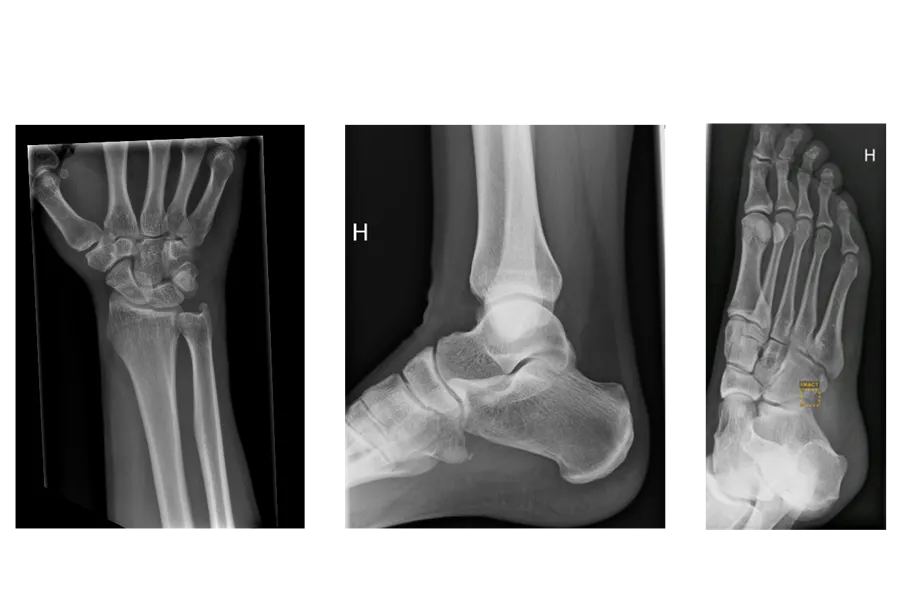
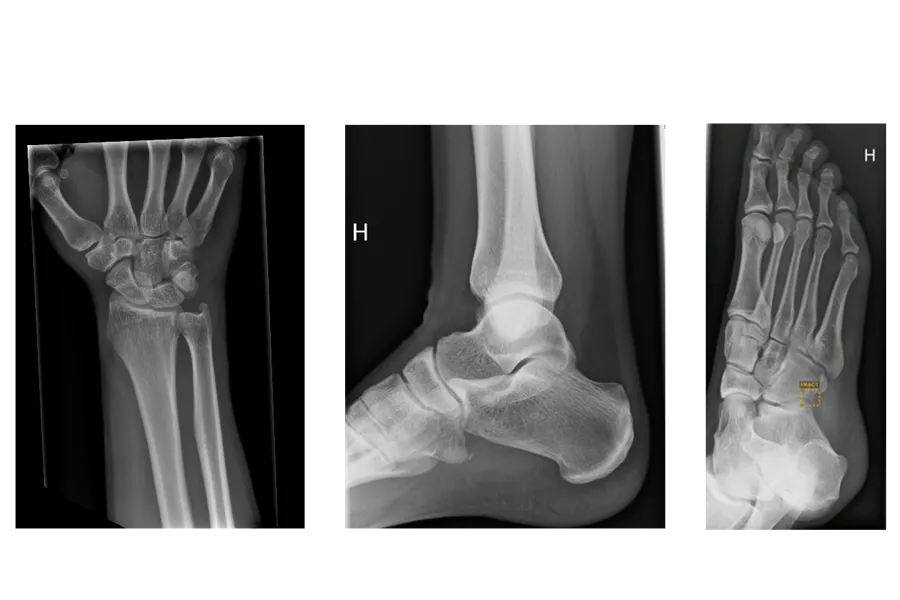
- I Vestre Viken har man begynt å ta i bruk KI i stor skala, og i november besøkte jeg Drammen sykehus hvor man blant annet benytter KI i tolkningen av røntgenbilder. Erfaringene så langt er gode, sa Kjerkol.
Hun la til at det fra slutten av august til tidlig november ble, bare ved Bærum sykehus, spart over 300 legekonsultasjoner.
- Da kan fagfolka bruke tida på andre oppgaver som haster, og på de pasientene som trenger det mest, la hun til.
KI nøkkel til mer bærekraftig helsetjeneste
Administrerende direktør i Vestre Viken HF, Lisbeth Sommervoll, synes det er flott at foretaket trekkes fram.
- Vestre Viken har satset målrettet på kunstig intelligens som en av nøklene til en mer bærekraftig helsetjeneste. Denne teknologien muliggjør bedre behandling og raskere pasientforløp, og bidrar til en mer effektiv og tilfredsstillende arbeidshverdag for vårt helsepersonell, sier Sommervoll.
Digital spydspiss
Fagdirektør i Vestre Viken HF, Anders Debes, mener at ved satsing på kunstig intelligens, digital hjemmeoppfølging og det virtuelle sykehus, posisjonerer Vestre Viken seg som en digital spydspiss.
- Vi er stolte av hva vi får til og fortsetter å være fremoverlente og tenke nytt for å skape en bærekraftig helsetjeneste, avslutter Debes.
Skal ta i bruk KI
I oppdragsdokumentet, som er en bestilling fra helseministeren til helsetjenesten, fremkommer det tydelig at kunstig intelligens skal satses på.
Der står det: «De regionale helseforetakene skal, under ledelse av Helse Sør-Øst RHF, ta i bruk løsninger med kunstig intelligens som kan bidra til å frigjøre tid hos helsepersonell og redusere ventetider. Effekten av løsningene skal dokumenteres slik at det legger til rette for videre innføring. De regionale helseforetakene skal også bidra inn i samarbeidet om bruk av KI i helse- og omsorgstjenesten som ledes av Helsedirektoratet».
