Vestre Viken har gått opp løypa og er det første helseforetaket i Norge til å ta i bruk kunstig intelligens i bildediagnostikk. Helse Sør-Øst har valgt å støtte Vestre Viken sin satsning på KI. Høsten 2023 bevilget de fire millioner kroner som skal benyttes til å hjelpe andre helseforetak med å ta i bruk denne teknologien. KI prosjektet ved Vestre Viken har store ambisjoner om å ta i bruk ytterligere KI-applikasjoner innenfor diagnostikk.
Hovedprinsippene for KI-implementeringen er at det skal bidra til bedre kapasitet, forbedret pasientflyt og arbeidshverdag for våre ansatte.

«Jeg var hos fastlegen klokken 14 på Fornebu, nå er klokken 15:15 og jeg har allerede fått svar. Det er utrolig imponerende» «Legene stoler på teknologien, så da gjør jeg det også»
Visste du at?
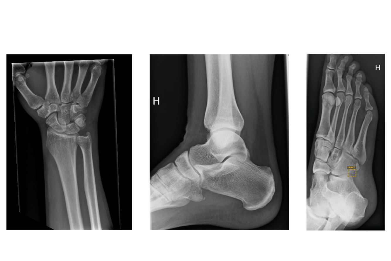
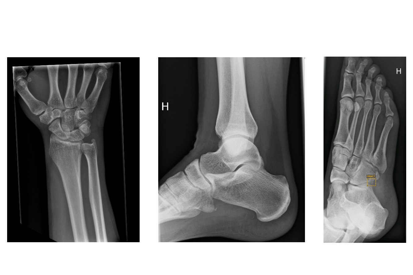
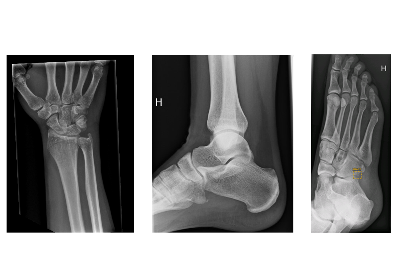
I løpet av det første året etter implementering har vi allerede spart over 300 døgn med ventetid for pasienter og det er analysert bilder fra 31 000 pasienter. Årlig kan dette frigjøre 5500 legekonsultasjoner som kan brukes på de pasientene som trenger det mest.
Tidslinje - Kunstig Intelligens
Bærum sykehus
29. august 2023 - KI i klinisk drift
Kongsberg sykehus
18. oktober 2023 - KI i klinisk drift
Drammen sykehus
13. november - KI i klinisk drift
Ringerike sykehus
11. desember 2023 - KI i klinisk drift
Hallingdal sjukestugu
12. desember 2023 - KI i klinisk drift
- MedWatch - Bærum først i Norge med å ta i bruk kunstig intelligens til behandling
- Computerworld - Bærum sykehus først i Norge med å ta i bruk kunstig intelligens til behandling
- Digi.no - Nå kan algoritmen sende deg hjem fra legevakta
- Budstikka - Kunstig intelligens på full fart inn i behandlingen
- DN - Mirakelkur eller ei - kunstig intelligens må tas i bruk for å finne svaret
- Dagens medisin - Her er første fot som er diagnostisert med kunstig intelligens i Vestre Viken
- TV2 - Finner brudd som legene overser. Først i Norge med å teste dette
- VG - Fikk hånden analysert av kunstig intelligens - resultatet kom så raskt
- NRK Stavanger - Snart vil kunstig intelligens analysere kroppen din
- TV2 - Kunstig intelligens: Andreas gruet seg til ventetiden - ble overrasket
- Eikerbladet - Line fra Ormåsen er den første i landet
- Laagendalsposten - Legene stoler på teknologien, så da gjør jeg det og







